Dr. Çiğdem Kader
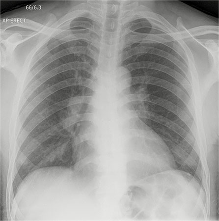
Olgu 1: 63 yaşında erkek, 2 haftadır süren, kuru öksürük, gece terlemesi, kilo kaybı ve altı gün önce tüm vücutta yaygın döküntü şikayetleri ile başvurdu. Tetkiklerinde normositer anemi (hemoglobin 9.5 g / dL), anti HIV (+), CD4 sayısı 5 hücre/ μL idi. Fizik muayenede, ışığa duyarlı gövde ve ekstremitede eritemli papüller ve püstüller mevcuttu (Resim 1). Akciğer grafisinde bilateral hiler lenfadenopati ve bilateral nodüler pulmoner infiltrasyon saptandı(Resim 2). Deri punch biyopsisinde dermise uzanan mikro apse formasyonu ile subkorneal püstül, Ziehl-Neelsen boyamasında aside dirençli basil tespit edildi (Resim 3).
|
Resim 1.Göğüs ve kollardaki geniş eritemli papüller ve püstüller (A), omuzdaki döküntüler (B) |
|
Resim 2. |
|
Resim 3.Deri punch biyopsisi dermise (A) uzanan mikro abse formasyonu ile subkorneal püstül görülmektedir. B.Ziehl-Neelsen boyamasında asit fast basil görülmektedir. |
Yukarıdaki bulgular eşliğinde olguda düşündüğünüz enfeksiyon etkeni aşağıdaki şıklardan hangisinde doğru olarak verilmiştir?



