Doç. Dr. Gülden YILMAZ

Crohn tanısı bulunan 53 yaşında erkek hasta, 2-3 gündür devam eden halsizlik, yorgunluk, baş ağrısı ve son 24 saattir gelişen kolik tarzı karın ağrısı, günde 3-4 defa kansız, kokusuz, mukussuz ishal ve ateş şikayetleri ile acil servise başvuruyor. Yakın zamanda dışarıdan yemek yemediğini fakat kavun başta olmak üzere bol meyve tükettiğini söyleyen hasta, eşinde de sadece halsizlik olduğunu belirtiyor. Ateş 36.1oC, nabız 85 atım/dakika, TA 107/71 mmHg olarak belirleniyor, diğer fizik muayenede ek patoloji saptanmıyor. Hastanın kan tetkiklerinde lökosit sayısı 6100/mm3 (%73 PNL), hemoglobin 12.9 g/dl olarak tespit edilip diğer tetkikler normal olarak raporlanıyor. Evde ateşini 39.8oC olarak ölçtüğünü ifade eden hastanın, acil serviste ateş yüksekliği saptanmıyor. Karın ağrısı gerileyen ve dışkı örneği veremeyen hasta, kan kültürleri alınıp amoksisilin-klavulanik asit ve semptomatik tedavi reçete edilerek ayaktan günlük takibe gelmesi koşulu ile taburcu ediliyor.

Bu hastada muhtemel ön tanınız nedir?

 
Enflamatuar barğırsak hastalığı alevlenmesi

YANLIŞ CEVAP

Hastanın crohn hastalığı tanısı olması, ateş ve ishal şikayetlerinin bulunması sebebiyle enflamatuar bağırsak hastalığı alevlenmesi de düşünülebilir.

 

Viral enfeksiyonlar

YANLIŞ CEVAP

Lökosit sayısı normal, ateş yüksekliği ve kansız ishal olması viral enfeksiyonları düşündürebilir.

Norovirus; salgın yapabilen ani kusma, ishal ve subfebril ateş ile ortaya çıkan ve birkaç gün içinde düzelen bir tabloya neden olabilir. Enterovirüsler, gastrointestinal sistem başta olmak üzere nörolojik, plevral, kardiyak, oküler ve kutanöz semptomlara kadar birçok sistemi tutabilen tablo ile karşımıza gelebilir. Hatta agamaglobulinemisi olan, kemik iliği transplantasyonu yapılan, B hücre defekti bulunan ve rituksimab kullanan kişilerde ağır ve ölümcül seyredebilir. Her ne kadar CMV enfeksiyonları subakut ve lökopeni ile seyretse de immünsupresif bir hasta olduğu için akılda tutulmalıdır.

 

Bakteriyel enfeksiyonlar

YANLIŞ CEVAP

Gastrointestinal semptomlara yol açan bakteriyel enfeksiyonlar olabilir, etken olarak toksinle hastalık yapan Nontifoidal salmonella ve Campylobacter spp bakteriyemi ile seyredebilecek, kümes hayvanları ya da ürünleri ile bulaşabilecek etkenlerdir. Nontifoidal salmonellalar daha sık bakteriyemi yapmakta iken campylobakter türlerinde vasküler tropizm görülmekte ve immünsuprese hastalarda enfektif endokardit ya da septik tromboflebite neden olabilmektedir.

Clostridioides difficile olası diğer etkenler arasında yer almakla birlikte toplumdan gelen ve antibiyotik kullanım öyküsü olmayan hastalarda nadir olarak bildirilmektedir. Bunun yanında stafilokok ve pnömokok bakteriyemilerinde de nonspesifik ishal şikayetleri görülebilmektedir.

b ve c

YANLIŞ CEVAP

Ayırıcı tanılar arasında enflamatuar bağırsak hastalığı alevlenmesi de düşünülmelidir.

 a, b, c

DOĞRU CEVAP

 

Ertesi gün hastaya kan kültüründe üreme olduğu bildiriliyor ve hastaneye geri çağırılıyor. Hastanın ikinci başvurusunda, evde bir kez ateşinin (38,3 oC) olduğu, kansız, mukussuz ishalinin devam ettiği ve kendisinin alerjik rinite bağladığı hafif boğaz ağrısı olduğu öğreniliyor. Vital bulguları stabil olan hastada (ateş 37,3 oC, nabız 88 atım/dakika, TA 120/65 mmHg), batında sağ alt kadranda hassasiyet saptanıyor. Hastanın CRP’si 26 mg/L (0-5 mg/L) belirlenirken, diğer kan tetkikleri normal saptanıyor. Dışkı mikroskobisinde 4-5 lökosit görülüyor. Özgeçmişi ayrıntılı olarak incelendiğinde, Crohn hastalığı nedeniyle 20 yıl önce sağ hemikolektomi, terminal ileum ve çekum rezeksiyonu uygulandığı, 2 ay öncesine kadar adalimumab (6 yıl), metotreksat (3 ay) ve infliksimab (1 yıl) kullandığı öğreniliyor. Hastanın ishal ataklarının artması nedeni ile kolon biyopsisi yapıldığı, patolojik incelemesinin yaygın ülserasyonlu ciddi aktif kronik kolit olarak raporlandığı ve tedavinin son 2 aydır prednizolon ve natalizumab olarak düzenlendiği öğreniliyor. Hastanın 2-3 gün öncesine kadar bu tedavi rejimi ile semptomlarında belirgin bir iyileşme olduğu belirleniyor. Parkinson, osteoporoz, allerjik rinit, imsomnia, hipertrigliseridemi tanıları nedeni ile de rasajilin, folik asit, alendronat, pramipeksol, karbidopa kullandığı saptanıyor.

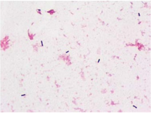
Kan kültüründe pozitiflik sinyali sonrası hazırlanan gram incelemede kısa zincirler halinde spor yapmayan gram pozitif basiller (Resim 1) görülüyor. Kanlı agarda dar beta hemoliz (Resim 2) yapan bu bakteride katalaz ve safra eskulin testi de pozitif saptanıyor.

Resim 1. Kısa zincirler halinde , spor yapmayan gr (+) basil

Resim 2. Kanlı agarda dar beta hemoliz

Kan kültürlerinde gram pozitif basil üremesi olan hastada ön tanılarınız nelerdir?

 

Crohn tanısı bulunan 53 yaşında erkek hasta, 2-3 gündür devam eden halsizlik, yorgunluk, baş ağrısı ve son 24 saattir gelişen kolik tarzı karın ağrısı, günde 3-4 defa kansız, kokusuz, mukussuz ishal ve ateş şikayetleri ile acil servise başvuruyor. Yakın zamanda dışarıdan yemek yemediğini fakat kavun başta olmak üzere bol meyve tükettiğini söyleyen hasta, eşinde de sadece halsizlik olduğunu belirtiyor. Ateş 36.1oC, nabız 85 atım/dakika, TA 107/71 mmHg olarak belirleniyor, diğer fizik muayenede ek patoloji saptanmıyor. Hastanın kan tetkiklerinde lökosit sayısı 6100/mm3 (%73 PNL), hemoglobin 12.9 g/dl olarak tespit edilip diğer tetkikler normal olarak raporlanıyor. Evde ateşini 39.8oC olarak ölçtüğünü ifade eden hastanın, acil serviste ateş yüksekliği saptanmıyor. Karın ağrısı gerileyen ve dışkı örneği veremeyen hasta, kan kültürleri alınıp amoksisilin-klavulanik asit ve semptomatik tedavi reçete edilerek ayaktan günlük takibe gelmesi koşulu ile taburcu ediliyor.

 

Hastada etken otomatize sistem (VITEK 2, bio-Merieux) ile Listeria monocytogenes olarak tespit edilmiş.

Listeria monocytogenes; fakültatif anaerob, sporsuz, katalaz pozitif, oksidaz negatif, safra eskulin pozitif, kanlı agarda inkomplet beta hemoliz yapan, soğukta üreyebilen, hareketli gram pozitif basildir. Toplumda çok sık görülmemekle birlikte özellikle neonataller, hamileler, >65y kişiler, transplant alıcıları ve hücresel immün yetmezliği olanlarda ciddi seyredebilecek bir enfeksiyon etkenidir. Et, çiğ sebze, süt ve süt ürünleri başlıca bulaş kaynaklarıdır. Febril gastroenterite neden olabileceği gibi bakteriyemi olabilmekte ve sepsis, menenjit gibi ağır tablolar görülebilmektedir. Tedavi seçenekleri arasında penisilin G, ampisilin, trimetoprim-sulfametoksazol (TMP-SMX) yer almakta ciddi tablolarda kombine tedaviler (ampisilin-gentamisin, ampisilin TMP-SMX gibi) kullanılabilmektedir

İmmünsupresif bir hasta olduğu ve bakteriyemi saptandığı için bu hastada kombine tedavi tercih edilmiştir.

KAYNAK

Hohmann EL, Kim JY. Case 8-2012: A 53-Year-Old Man with Crohn’s Disease, Diarrhea, Fever,and Bacteremia. Case records of the Massachusetts General Hospital. N Engl J Med 2012;366:1039-45.