Prof. Dr. Derya Öztürk Engin
Kırk yaşında HIV enfekte erkek hasta, dört gündür devam eden kanlı, mukuslu ishal şikayetiyle kliniğimize yatırıldı. Hasta, polinöropati tanısı ile dört aydır intravenöz immunoglobulin (IVIG), üç aydır da 30 mg/gün steroid tedavisi almaktaydı. Hastaya yatışından 20 gün önce elvitagravir+cobistat+tenofovir alafenamid+emtrisitabin tedavisi başlanmıştı. Hastanın tedavi başlangıcındaki CD4 T lenfosit sayısı 220 hücre /mm3, HIV RNA düzeyi 13.640.799 IU/L idi. Yatışından sonra alınan CD4 T lenfosit sayısı 24/mm3 tespit edilen hastanın aldığı tedaviye, profilaktik dozda trimethoprim/sulfametoksazol eklendi. Yatışının 2. gününde kandida özefajiti nedeniyle flukonazol tedavisi başlandı. Ancak hastanın şikâyetlerinin devam etmesi üzerine flukonazol 9. günde kesilip anidulafungin tedavisine geçildi. Yatışı süresince kanlı-mukuslu ishal şikâyetleri devam eden hastaya kolit ayırıcı tanısı için kolonoskopi yapıldı. Alınan biyopsi örneğinin histopatolojik incelemesi sitomegalovirus (CMV) koliti ile uyumlu olan hastaya elvitagravir+ cobistat+tenofovir alafenamid+emtrisitabin, trimethoprim/sulfametoksazol, anidulafungin tedavilerine gansiklovir eklendi.
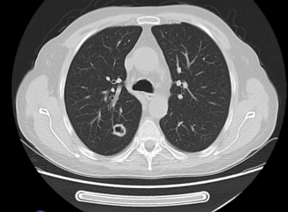
Anidulafungin ve gansiklovir tedavisinin altıncı gününde çekilen toraks tomografisinde kaviter lezyon saptanan hastada aşağıdaki etkenlerden hangisi veya hangileri akciğer enfeksiyonuna yol açmış olabilir?

Resim 1. Hastanın akciğer tomografisindeki kaviter lezyonu
- Aspergillus spp.
- C. neoformans
- Sitomegalovirus
- M. tuberculosis
- P. jirovecii
1.Yalnız I
YANLIŞ CEVAP
HIV enfekte hastada akciğerde kavitasyon saptandığında Aspergillus fumigatus ayırıcı tanıya alınmalıdır, ancak Aspergillus spp. dışında başka etkenlere bağlı da kaviter lezyon gelişebilmektedir. Hasta hem HIV enfekte olması hem de steroid tedavisi alması nedeniyle, aspergillus için riskli olarak değerlendirilmiştir. Hastanın kullanmakta olduğu anidulofungin tedavisi aspergillusun primer tedavisinde önerilmemekte, ancak kombinasyon tedavisinde yer alabileceği bildirilmektedir.
2.Yalnız I ve II
YANLIŞ CEVAP
HIV enfekte hastada kaviter akciğer tutulumu yapan nedenler arasında Aspergillus spp. ve C. neoformans yer almalıdır. Ancak bu mantarlar dışında da başka etkenlere bağlı kaviter lezyon gelişebilmektedir. Flukonazolun C. neoformans üzerinde etkili olduğu bilinmektedir. Hasta kaviter akciğer lezyonları saptanmasından önce flukonazol kullanmıştır. Altı gündür de anidulofungin kullanmaktadır. Ekinokandinlerin C. neoformans etkinliği bulunmamaktadır.
3.Yalnız III ve IV
4. II, III, IV
